Especialidades
Outras áreas de atuação
Doença cerebrovascular (AVC isquêmico e hemorrágico)

Há dois tipos básicos de doenças cerebrovasculares:
*Isquêmica (AVC isquêmico): corresponde a 80% dos casos. Há bloqueio da passagem do sangue e da oxigenação para o cérebro. Essa interrupção do fluxo pode ocorrer devido a trombose ou embolia.
*Hemorrágico (AVC hemorrágico): corresponde aos outros 20% dos casos. Nesse segundo tipo, ocorre a ruptura de um vaso e, com isso, o extravasamento de sangue.
Sinais e sintomas possíveis: alteração ou perda súbita da visão, perda dos movimentos ou fraqueza de um lado do corpo, dor de cabeça, dificuldade para engolir, desequilíbrio, tontura, perda da sensibilidade. O diagnóstico baseia-se no exame físico mais exames de imagem complementares.
Por se tratarem de doenças graves e com riscos de sequelas e morte, há necessidade de diagnóstico rápido e pronto tratamento.
O tratamento das doenças cerebrovasculares pode ser medicamentoso ou cirúrgico. O tratamento da fase aguda do AVC isquêmico consiste em desobstruir a artéria afetada, melhorando a perfusão cerebral, o que reduz o sofrimento do tecido neuronal, podendo ser realizado com medicamentos ou com procedimento endovascular.
O tratamento da fase aguda do AVC hemorrágico pode ser manejado desde a conduta conservadora, até intervenção neurocirúrgica.
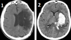
Imagem de tomografia computadorizada
- AVC isquêmico
- AVC hemorrágico
Trauma cranioencefálico (TCE)

Os traumas cranianos são provocados por fatores externos como acidentes e quedas. Os sinais mais comuns de traumatismo craniano são sangramento na cabeça, ouvido ou face, desmaio, perda de memória, alterações na visão e olhos arroxeados
Tipos de lesões:
Contusões focais: são as lesões mais comumente encontradas em pacientes com TCE, estando presentes em até 30% dos casos. Os locais de ocorrência mais comuns são os lobos temporal e frontal, que são as regiões mais vulneráveis quando há impacto direto. Essas lesões podem evoluir, em curto período de tempo (horas ou dias), para um hematoma dentro do cérebro levando a um efeito de massa suficiente para exigir rápida intervenção neurocirúrgica.
Hematomas (epidurais, subdurais e hemorragias subaracnóideas)
- Epidural: coleção de sangue no espaço epidural, decorrente do trauma sobre as artérias meníngeas. Presente em cerca de 0,5% dos pacientes com TCE, sendo lesões relativamente raras. Tipicamente, assumem um formato biconvexo na imagem, e, habitualmente, não estão associados a danos cerebrais adjacentes.
- Subdural: sangue no espaço subdural, está presente em até 30% dos pacientes com TCE e ocorre geralmente devido a traumas nas veias pontes do córtex cerebral. É uma lesão que costuma assumir o formato do contorno do cérebro. Geralmente, os hematomas subdurais estão associados a lesões parenquimatosas concomitantes, sendo, portanto, lesões mais graves e que podem precisar de intervenção neurocirúrgica.
- Subaracnoidea (HSA): sangue no espaço subaracnóideo, estando presente na maioria dos pacientes com TCE. Na imagem, observa-se pontos de sangramento mais difusos. Costumar ter boa evolução, sem necessidade de maiores intervenções neurocirúrgicas.
Lesão axonal difusa (LAD)
Lesão por cisalhamento, costuma ocorrer após impactos de alta velocidade ou em mecanismos de desaceleração, e corresponde a múltiplas hemorragias pontilhadas localizadas nos hemisférios cerebrais. Podem causar, em alguns casos, sequelas neurológicas graves. 
Hidrocefalia
É um acúmulo anormal de líquor dentro do cérebro. Pode ser causada por produção endógena excessiva ou obstrução ao fluxo, levando ao edema cerebral. É mais comum na infância, devido a alterações no desenvolvimento fetal durante a gravidez, mas também pode ocorrer em adultos como complicações de infecções ou tumores cerebrais. O diagnóstico baseia-se no exame clínico complementado por exames de imagem.
Na maioria dos casos, é indicado tratamento neurocirúrgico para diminuir a pressão intracraniana. Opções de tratamentos:
- Inserção de uma derivação (derivação ventricular peritoneal – DVP): consiste na colocação de um pequeno tubo no cérebro com uma válvula que drena o líquido acumulado para outra área do corpo, como o abdômen, impedindo o seu acúmulo no cérebro e facilitando a sua absorção para a corrente sanguínea.
- Ventriculostomia (derivação ventricular externa – DVE): consiste na introdução de um aparelho fino no cérebro, através de um furo, que liga o ventrículo cerebral ao meio externo, drenando o liquor acumulado.

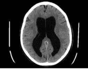
Imagem de TC: hidrocefalia


